病理切片查詢系統

資料庫查詢結果

編號

器官

診斷

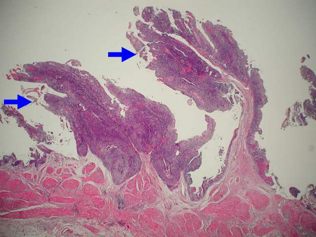
2171 Ureter Transitional cell carcinoma


(Figure 1) Transitional cell carcinoma of ureter with papillary tumor in the mucosa of the
ureter (arrow). The carcinoma dose not invade the underlying stroma.
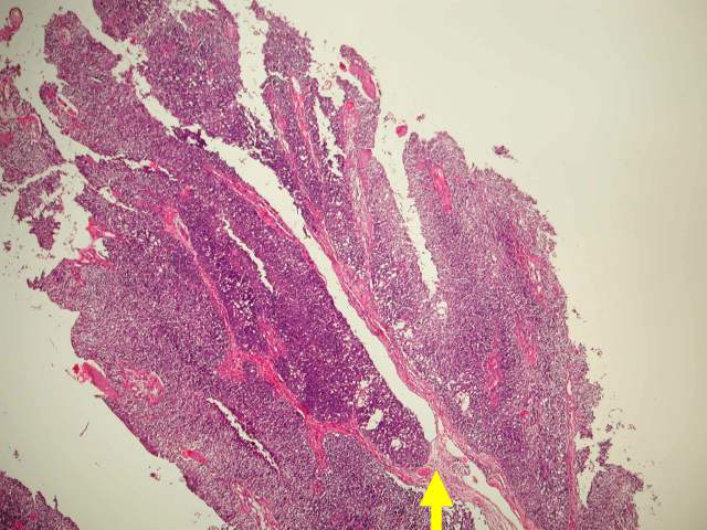
(Figure 2) Papillary transitional cell carcinoma with fibrovascular cores (arrow) lined by
carcinoma cells.
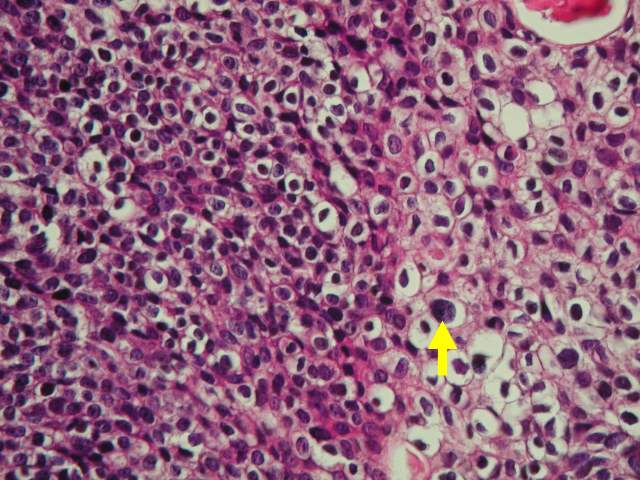
(Figure 3) Transitional cell carcinoma with tumor cells with mild to moderate nuclear
pleomorphism.
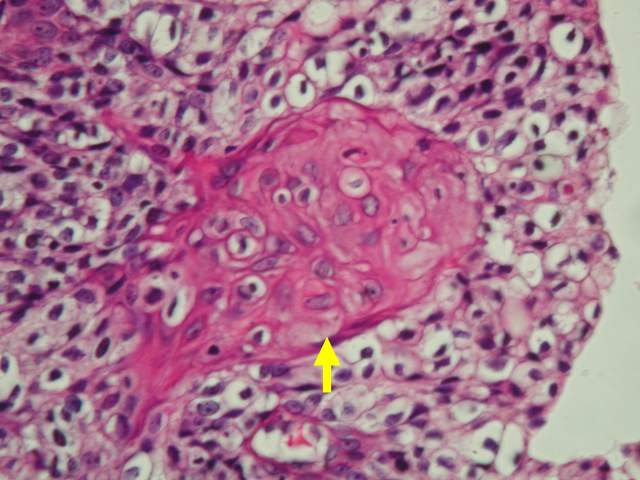
(Figure 4) Focal squamous differentiation in the transitional cell carcinoma.

 

回搜尋首頁